Você sabe o que fazer se seu filho (a) aspirar um objeto pequeno ou outro corpo estranho? Essa é uma situação comum que requer atenção e cuidado dos pais ou responsáveis. “A tendência da criança até os seis anos de idade é colocar os objetos na boca para reconhecer o mundo”, explica o cirurgião torácico do Hospital das Clínicas de Botucatu – Unesp (HCFMB), Tarcísio Albertin dos Reis.
No HCFMB, desde a década de 1970, quando a retirada de corpos estranhos (peça de lego, miçanga, parafuso, prego) em crianças começou a ser feita, foram 235 procedimentos realizados (vias aéreas – parte respiratória). Segundo o especialista, o mais comum é que a criança aspire restos de alimentos, como feijão, ervilhas e pipoca. “60% das vezes é alimento”, lembra Tarcísio.
Quando a criança faz a broncoaspiração (o objeto ou o alimento são direcionados aos pulmões) os sintomas são: tosse, respiração ruidosa e dispnéia. “O problema dessa tríade é estar presente em diversas doenças respiratórias”, frisa o médico.
A identificação da broncoaspiração nas crianças, principalmente quando os pais não percebem, é algo desafiador e vai exigir do profissional de saúde expertise para solicitar exames de imagem que ajudarão no diagnóstico.
Cuidados e tratamento
Uma situação que exige atenção dos pais é quando há a percepção de que o(a) filho(a) está engasgado(a). “Não coloque o dedo na goela do seu filho”, frisa Tarcísio. Esse movimento pode levar o objeto ainda mais para dentro do organismo da criança.

Nos casos em que o engasgo é identificado pelos pais e a criança está com dificuldade respiratória, o primeiro passo a ser adotado é a Manobra de Heimlich (tração abdominal), procedimento rápido de primeiros socorros para tratar asfixia por obstrução das vias respiratórias superiores por corpo estranho, tipicamente alimentos ou brinquedos.
De acordo com a médica pediatra e docente da Faculdade de Medicina de Botucatu (FMB|Unesp), Joelma Gonçalves Martin, a manobra é feita de forma diversa para bebês (até um ano de idade) e crianças, adolescentes e adultos.
“Nos casos em que a criança está com uma tosse mais fraca, ruidosa e começa a ficar roxa, precisamos iniciar a manobra. Devemos colocar o bebê de barriga para baixo em nosso antebraço, segurando a cabeça dela para manter o alinhamento com a coluna, e apoiamos nosso próprio braço em nossa perna, para manter resistência. A partir daí aplicamos cinco golpes no meio das costas, viramos a criança de barriga pra cima na outra perna ou superfície rígida, e iniciamos a massagem cardíaca com as mãos espalmadas na linha média do tórax.”, explica. O procedimento deve ser intercalado e realizado até o desengasgo.

Nas situações de crianças acima de um ano de idade, a manobra deve ser realizada quando ela começa a ficar roxa e dar sinais de dificuldade respiratória. “Precisamos manter o tórax mais pra frente e aplicar cinco golpes no meio das costas, com a mão aberta. Logo após, devemos colocar nossa mão empunhada em uma região mediana da barriga e a outra mão sobre essa primeira e faremos massagem abdominal em formato de J, como se quiséssemos empurrar o objeto da barriga para boca”, finaliza a especialista.
Convém ressaltar que, quando a Manobra de Heimlich não for suficiente, é fundamental sempre pedir ajuda médica ou paramédica (SAMU, Bombeiros) ou levar o paciente imediatamente até um Pronto Socorro – quando a aspiração for presenciada.
Ingestão x broncoaspiração de corpos estranhos
Há uma diferença entre a broncoaspiração e a ingestão de corpos estranhos em crianças. O diferencial encontra-se no órgão do corpo em que o corpo estranho fica alojado. Enquanto a broncoaspiração identifica o objeto ou substância no pulmão, a ingestão reconhece que o corpo estranho está situado em outros órgãos, como estômago e esôfago.

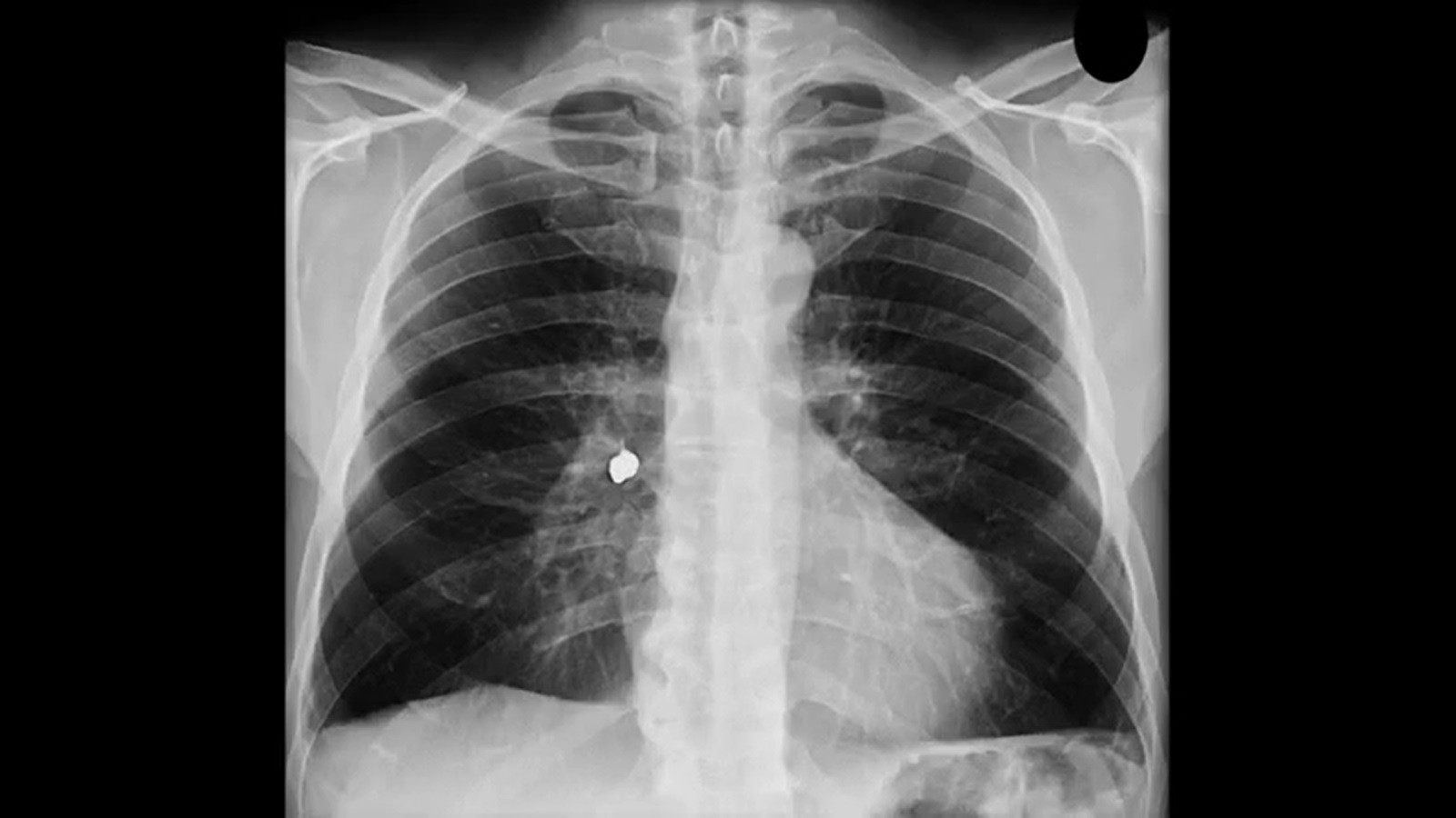
“O grande risco é quando o corpo estranho fica alojado no esôfago, local com mais sintomas e risco”, explica Giovana Tuccille Comes Brambilla, cirurgiã pediátrica do HCFMB. Segundo a especialista, o raio-x simples é o exame capaz de identificar a presença de um corpo estranho.
“Quando a gente fala de bateria ou pilha, se estiver no esôfago, é uma emergência e deve ser retirada imediatamente, porque pode ocasionar uma corrosão ou uma lesão importante”, lembra Giovana. Nestes casos, existe a possibilidade de a criança ficar com sonda para se alimentar durante um tempo, repetir a endoscopia após duas semanas e ser reavaliada para identificar se é possível retirar a sonda e se há necessidade de outro procedimento cirúrgico.
Nos casos em que os pais identificam a ingestão de algum objeto ou substância ou quando existe a suspeita, o ideal é que não haja a “provocação do vômito e a ingestão de líquido ou sólido, pois este é um problema comum e pode piorar o quadro”, explica Giovana. Segundo ela, é necessário procurar imediatamente um Serviço de Urgência e Emergência.
Prevenção
A prevenção deve ser feita em diferentes situações.
– Prestar atenção a mastigação e deglutição no momento das refeições. Em pacientes adultos com doenças neurológicas ou distúrbios de deglutição, deve-se evitar oferecer determinados tipos de alimentos que possam induzir engasgo.
– Elevar a cabeceira, colocar na posição sentada durante a refeição e fazer tratamento fonoaudiológico.
Para crianças pequenas é importante saber o que é ofertado de acordo com a faixa etária.
– Não oferecer alimentos inadequados (amendoim, pipoca, milho) a crianças pequenas e sem dentição completa e não deixar objetos muito pequenos ao alcance das mesmas.












Comentários